HOFTENÆRE FEMURFRAKTURER
Se e-Dok
S72.0 Fractura colli femoris uden specifikation
S72.1 Fractura pertrochanterica femoris
S72.1A Fractura intertrochanterica femoris
S72.1B Fractura trochanterica femoris
S72.2 Fraktura subtrochanterica femoris
S72.4C Fractura supracondyloidae femoris
S72.4A Fractura condyli femoris
Generelt
Hyppig fraktur hos ældre med osteoporose.
Gennemsnitsalderen ligger omkring 80 år. Dobbelt så hyppigt hos kvinder end mænd.
Hos yngre oftest ifbm. et højenergitraume.
Inddeling
Mediale Collum femoris fraktur
Flowchart til beslutningsstøtte for behandling af Collum femoris frakturer.

• Intern fiksation med 3 parallelle kannulerede skruer, eller med 2 huls
glideskrue
Ved anvendelse af skruer er der følgende krav:
• At den distale skrue hviler på calcar
• At afstanden fra skruespidsen til den subchondrale knogle skal være ca 5mm
• At der, i fald der indsættes 3 skruer eller flere, skal tilstræbes spredning
af skruerne i sideplanet
• At undgå rotation af caput i forbindelse med isætning af skruer
• At undgå penetration af caput med boret
Behandling af patienter med forskudt brud > 70år:
• Alloplastik
Alloplastikvalg:
• Patienter i alderen 70-80 år som ikke er demente kan behandles med total
alloplastik såvel som hemialloplastik
• Patienter > 80 år eller demente behandles med hemialloplastik med mindre der
anvendes cup designs med lav luksations risiko (F.eks. AVANTAGE® Acetabulum
System)
Ved alloplastik anbefales det:
• At der anvendes moderne cementeringsteknik
• At såvel unipolært som bipolært caput anvendes ved hemialloplastik
• At ucementerede proteser af Moore type ikke anvendes
• Der anvendes modulære komponenter der tillader skift til THA uden at stemmet
skal fjernes
Behandling af svær demente patienter uden gangfunktion:
• Girdlestones
• Konservativ behandling med smertekateter
Laterale Pertrochantære og subtrochantære

Ekstrakapsulære frakturer:
• Opdeles i pertrochantære frakturer og subtrochantære frakturer
• Pertrochantære opdeles i stabile trochantære (AO type 31 A1 eller
Evans-Jensen1-2), ustabile trochantære (AO type 31 A2 eller Evans-Jensen 3-5) og
transtrochantære (AO type 31 A3)
• Subtrochantære frakturer klassificeres efter Fieldings Klassifikationssystem
(type 1-3)
Behandling af patienter med stabile og ustabile trochantære frakturer:
• Glideskrue hvor Tip-Apex afstanden (TAD) anvendes til peroperativ vurdering af
placering af glideskruen, og der tilstræbes en TAD < 25mm
• Ved risiko for per eller postoperativ fraktur af laterale femur anvendes
glideskrue suppleret med en trochanter støtteplade eller marvsøm
Behandling af patienter med transtrochantærer frakturer:
• Marvsøm
Generelt gælder for behandling af subtrochantære frakturer:
• Primært anvendes marvsøm med låsnings mulighed proksimalt i caput og distalt
på femur
• Hvis frakturen ikke kan reponeres lukket udføres åben reponering før
indsættelse af sømmet
Behandling af patienter med subtrochantære frakturer type 1:
• Proksimale femursøm
Behandling af patienter med subtrochantære frakturer type 2:
• Proksimale eller lange marvsøm
Behandling af patienter med subtrochantære frakturer type 3:
• Lange marvsøm med låsning distalt
• Evt suppleret med enkle cerclager
Planlægning af operationstidspunkt:
• Det tilstræbes at operationen ikke udsættes udover 24 timer af
kapacitetsmæssige grunde
• Patienter med hoftebrud skal hurtigst muligt efter indlæggelse vurderes af
anæstesilæge m.h.p. præoperativ optimering
• At patienter med hoftebrud opereres snarest muligt efter indlæggelse, da
frakturen i sig selv kan forårsage venøs tromboemboli
• Patienter i AK-behandling kan opereres i generel anæstesi eller lokalt blok
hvis INR < 2,5. Ved neuraksial blokade kræves INR < 1,5
• Hvis INR er højere end det krævede pauseres AK-behandlingn og der gives
konakion 2-5 mg IV eller friskfrosset plasma 15ml/kg iv. Ved behandling med frisk
frosset plasma kan patienten være operationsklar på få timer, mens konakion
først kan forventes at have effekt den følgende dag
Profylakse mod infektion:
• Cefuroxim 1.5 gr iv præoperativt og 750 mg x 3 postoperativt, det første døgn
Forebyggelse af venøs tromboemboli (VTE):
• Inj fragmin 5000 iE anvendes som tromboseprofylakse. Gives vesp i 7 dage.
• Hvis op. først kan foretages > 2døgn efter indlæggelse indledes præoperativt
med lav molekylært heparin (LMH)
Ved patienter i AK-behandling:
• Genoptages, efter aftale med operatøren, i operationsdøgnet med patientens
sædvanlige dosis, hvis INR er i niveau eller lidt lavere dosis, Hvis INR lå over
terapeutisk niveau
• Kontrol af INR med 1-2 dages interval og supplement med LMH i høj
profylaksedosis indtil INR har været > 2,0 i mindst 2 dage (6)
Allogen blodtransfusion:
• Hgb kontrolleres dagligt indtil 3. postoperative dag
• Beslutning om transfusion træffes ud fra Regionshospitalets gældende
retningslinjer vedr. Blodtransfusion
Inddeles efter AO-31 klassifikation.
Stabile A1 og A2 frakturer behandles med glideskrue (DHS, dynamic hip screw).
Ustabile A2 (spinkel/fratureret lateral cortex) og A3 frakturer bør behandles
med PFNA marvsøm (Proximal Femur Nail).
Behandling af subtrochantære femur frakturer
Inddeles efter Fieldings klassifikationen. Subtrokantære femur frakturer kan
behandles med VeroNail kort eller langt (se herunder). Alternativt kan Lateral
Entry Femoral Recon Nail anvendes (LFN marvsøm). Alle skal have konvergerende
låste skruer proximalt. Distalt kan anvendes låst eller dynamisk fiksation
afhængig af fraktur type. Hvis frakturen ikke kan reponeres lukket udføres åben
reponering før indsættelse af sømmet og ved Fielding type 3, eventuelt suppleret
med enkelte cerclager.

Initiale procedurer ved hoftenære femur frakturer
Primære undersøgelser
Ved frakturmistanke anlægges ultralyds vejledt femoralis blok ved narkosen i skadestuen inden rtg
undersøgelsen.
Smertestillende, hvis det er nødvendig. Ofte også i.v.-drop.
Røntgen
Pt. afklædes til rtg., så der kan tages rtg. af bækken samt hoften i 2 planer (AP og axial).
Ved positiv rtg kører pt til afdeling og får skrevet journal der.
Journal
Nøje gennemgang af pt`s fysiske og psykiske tilstand.
Sociale forhold: Bolig, familie, evt. hjemmehjælp, gangfunktion (hjælpemidler) og ADL-funktioner i
øvrigt.
Almindelig objektiv gennemgang.
Ordinere medicin.
Laboratorie undersøgelser
Hb, væsketal, EKG, blod fra til forlig, ved pertrochantære og subtrochantære frakturer
BAC test. Urinundersøgelse og ved cystitis behandle denne.
Tilsyn af anden speciallæge
Narkosetilsyn og evt. med. tilsyn efter ordination.
Aftale operation med bagvagt
Bestille operation på Bookplan
Kode XKNFJ70 for Kannulerede skruer.
Kode XKNFJ81 for glideskrue.
Kode XKNFJ52 for VERO NAIL
Kode XKNFB12 for cementeret halvprotese.
Hvis pt. først skal opereres dagen efter, skrives det i bookplan. Der skal
dikteres en "OP tilmelding".
Forbehandling
Det frakturerede ben lejres let abduceret og evt støttet af sandsække.
Hvis der ikke er etableret, anlægges i.v.-drop.
Ved incontinens katheter à demeure.
Thromboseprofylakse
Fragmin 6-9 timer postoperativt og om aftenen i 7 dage i
alt og til pt er mobiliseret.
Hvis pt skal opereres næste dag skal man vente med at
give Fragmin til efter at narkosen har lagt et epidural smertekateter.
Hvis pt ikke kan opereres indenfor 2 dygn skal der opstartes Fragmin behandling præoperativt. Sidste dosis før operation senest 12 timer før aht spinal anæstesi.
Patienter i AK behandling med Marevan: INR skal være under 1,5 før der kan lægges spinal anæstesi. Pt med INR herover skal have Konakion så de kan blive operationsklar så hurtigt som muligt.
| INR | Konakion | Kontrol |
| 1,6-2,0 | 1-2 mg IV | 6-12 timer |
| 2,0 - 3,0 | 2 mg IV | 6-12 timer |
| > 3,5 | 4 mg IV | 6-12 timer |
Antibiotika
Cefuroxim 1.5 gr. iv. præoperativt og Cefuroxim 1,5 gr efter 8 og 16 timer iv.
postoperativt det første døgn.
Metoder:
Medial colum femoris fraktur:
Reponering på ekstensionsleje. Frakturen reponeres ved kraftig indadrotation af
foden i "støvlen" ofte skal foden drejes indad til den er vandret og tæerne
peger mod raske ben.
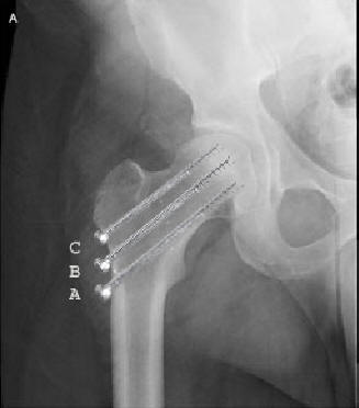
3 Kannulerede skruer (ved fraktur i det skraverede område) Se skrue
placering på billede A og B:

Pertrokantær fraktur.
Reponeres ved passende længde stræk og ikke indadrotation. Foden skal
normal pege mod loftet i let udadrotation.
Glideskrue (ved fraktur i det skraverede område) DHS

Cementeret hemialloplastik (ved fraktur i det skraverede område)

Ved subtrokantære frakturer eller meget komminutter
pertrokantære fraktur.
Reponeres ved passende længde stræk og ikke indadrotation. Foden skal
normal pege mod loftet i let udadrotation.


Hofte frakturer er ofte lavenergi frakturer hos ældre pt
med osteporose.
Pt skal tilbydes henvisning til medicinsk afdeling mhp screnning for
osteoporose.
Revideret marts 2017, JOS
Ref: Referenceprogram for hoftefrakturer.