Quadriceps ruptur
Diagnose:
Pga hæmatom og hævelse kan senedefekten være svær at se, men er ofte
tydelig at palpere.

Anatomi:

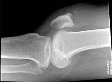
Rtg viser lavtstående patella:

Ultralyd er god til at verificere
diagnosen:

Kan laves dynamisk, hvor knæet bevæges samtidigt.
Ved tvivl laves akut MR-skanning,
som altid kan vise læsionen.

Operation akut og indenfor en uge.
Operation:
Sutur gennem 3 borekanaler. Brug evt et kanyleret
bor.
Sy med Fiberwire nr 5. Se billede.
Sæt en knude og bøj knæet igennem. Hvis suturen gaber
lidt kan man stramme knuden yderligere og binde mindst
5 knuder.

Efter behandling:
Lang hængselbandage i 6 uger
Må støtte på strakt ben i 6 uger
Ambulant kontrol ved fys efter 2 uger med justering af bandage og fjernelse af
agraffer. Kan følges af fys og ses af læge ved behov.
0-2 uger 0-30 gr
2-4 uger 0-70 gr
4-6 uger 0-90 gr
Amb kontrol 6 uger med seponering af bandage og fri bev.
Belastede øvelser efter 8 uger
Spec fys i starten, derefter GOP
(Bandagen kan låses i 30,40,70 og 90 grader)
JOS nov 2015