HUMERUSFRAKTURER
Behandlingen afhænger af om det drejer sig om
voksne eller børn
Voksne
Proksimale humerus frakturer:
(Se desuden Dansk
Selskab for Skulder Albue Kirurgi DSSAK retningslinje)
Frakturer med beskeden dislokation kan i vidt omfang behandles konservativt.
Mere dislocerede frakturer (> ½ knoglebreddes ad latus forskydning, >45
vinkelfejlstilling og/eller > 1 cm forskydning af tuberculumfragmenter) bør
behandles operativt ved yngre patienter. Hos unge aktive patienter accepteres
mindre dislokation end ovenfor anført. Operation med hemialloplastik har gennem
mange år været betragtet som gylden standard for ældre patienter med
4-partsfrakturer, men der findes ikke evidens for at dette er bedre end
konservativ behandling. Patientens alder og almentilstand, herunder eventuel
misbrugsproblematik skal altid tages med i betragtning når operationsindikation
stilles.
Konservativ behandling
Almindelig mitella eller collar’n cuff 3 uger. Helt udislocerede frakturer: Kan
afsluttes fra Skadestuen til egen læge med råd om genoptræning inden for
smertegrænsen. Mere dislocerede frakturer skal behandles med mitella 3 uger og
bør følges op i ambulatoriet med røntgen inden for et par uger. Efterfølgende
stillingtagen til genoptræning (instruktion ved fysioterapeut eller kommunal
genoptræning (ved sværere demens evt. ingenting)). I reglen ingen yderligere
kontrol.
Tuberculum majus fraktur: selv små dislokationer ved yngre kræver hyppig
kontrol, da de ofte skrider på grund af trækket fra supraspinatussenen. Derfor
røntgen kontrol efter 1 uge. Kræver ofte operation og SKAL konfereres dagen
efter, hvis der er dislokation.
Operativ behandling
Protese ved 4-partsfrakturer og luksationsfrakturer, evt. ved 3-partsfrakturer
ved osteoporotiske patienter, især når den ene part er tuberculum majus.
Osteosyntese bør i videst mulige omfang forsøges ved yngre, ikke osteoporotiske
patienter.
Operation foregår under indlæggelse. Behøver ikke være akut, kan godt vente
nogle dage.
Corpus humerifrakturer
Corpus humeri frakturer behandles som udgangspunkt konservativt med
sarmientobandage. Denne anlægges af ortopædkirurgisk ergoterapeut om muligt på
skadesdagen eller snarest derefter. På hverdage kontaktes Terapiafdelingen på
telefon 7842 7800 inden kl. 18.00 (fredage dog 16.00) eller dagen efter for
aftale om tid og sted. På helligdage og i weekender kontaktes den
ortopædkirurgisk ergoterapeut på telefon 7842 7880 inden kl. 12.30 eller dagen
efter.
I ventetiden på sarmientebandagen og de første dage efter bandageanlæggelsen
behandles med mitella. Når sarmientebandagen er anlagt og de værste smerter har
fortaget sig behøver patienten ikke anvende mitellaen længere. Armen må bruges
efter evne inden for smertegrænsen.
Kontrol: røntgen (stillingskontrol) efter anlæggelse af sarmientobandagen og
igen i ambulatoriet efter 6 -8 uger. Der må påregnes en bandageringstid på 8 –
12 uger. Bandagen seponeres når der er røntgenologisk og klinisk heling
(bandagen fjernes midlertidigt og der testes for løshed).
Det skal noteres, hvordan kredsløb og neurologi er i armen (obs. påvirkning af
nervus radialis) både ved primærundersøgelse og ved efterfølgende kontroller.
Ved større dislokation, nervus radialis påvirkning eller åben fraktur konfereres
med bagvagt.
Distale humerusfrakturer
Se
desuden Dansk Selskab for Skulder Albue Kirurgi DSSAK retningslinje
Udislocerede frakturer og minimalt dislocerede frakturer uden ledinvolvering
behandles konservativt med vinkelgipsskinne i 3 – 4 uger. Røntgenkontrol efter
en uge (dog ikke ved helt udislocerede frakturer) og ved afbandagering. Herefter
fysioterapi.
Dislocerede frakturer indlægges til operativ behandling. Operationen behøver
ikke foregå akut, men kan med fordel udskydes til egnet operatør (skulder-
albuekirurg) er til stede. Der skal foreligge CT-scanning af albuen, gerne med 3
D-rekonstruktion, inden operationen. I OP-tilmelding udbedes præoperativ
antibiotika, blodtomhed, gennemlysning. Normalt skal der gøres osteosyntese med
specialskinner = Mayoskinner, (aldrig K-tråde hos voksne), evt. skruer alene.
Ved intraartikulære dislocerede distale humerusfrakturer hos voksne vil der, på
trods af korrekt behandling, så godt som altid opstå følger i form af nedsat
bevægelighed, hvilket patienten bør informeres om.
Ved meget komminutte frakturer hos ældre kan operation med albue (hemi)
alloplastik være en mulighed. I så tilfælde tages kontakt til skulder-
albuesektoren, ortopædkirurgisk afdeling, Århus, hvor operationen i givet fald
udføres. CT-scanning skal foreligge.
Børn
Proksimale humerus frakturer
Relativt sjældne (1 % af alle børnefrakturer) Det kan dreje sig em enten
physefrakturer eller metafysære frakturer. I begge tilfælde er
remodelleringspotentialet meget stort og behandlingen derfor næsten altid
konservativ.
Den konservative behandling består i almindelig mitella i ca 3 uger, evt fixeret
mitella den første uge ved større dislokation. Røntgenkontrol ved afbandagering.
Minimalt dislocerede frakturer kan afsluttes til egen læge uden røntgenkontrol.
Fysioterapi er i reglen ikke nødvendigt.
Hos ældre børn (> 12 år) med betydelig dislokation kan lukket eller åben
reposition med K-trådsfixation være indiceret.
Corpus humerifrakturer
Behandlingsprincipper afviger ikke væsentligt fra behandlingen hos voksne. Stort
set altid konservativ behandling. Bandageringstid kortere, ofte ikke mere end 4
uger. Sarmientobandage kan vanskeligt tilpasses mindre børn. I stedet kan
fixeret mitella eller U-skinne i gips/termoplastisk materiale anvendes.
Distale humerusfrakturer
Supracondylær
Den hyppigste fraktur i distale humerus. Udislocerede og minimalt til moderat
dislocerede frakturer behandles konservativt med vinkelgipsskinne i 3 uger. De
udislocerede kan afsluttes til egen læge. De minimalt til moderat dislocerede
bør røntgen kontrolleres efter ca en uge for at fange en eventuel sekundær
dislokation.
Se efter intra artikulær ansamling (prøv at stille på
kontrasten så bliver det tydligere):
:
Dislocerede (se figur) frakturer behandles med reposition og osteosyntese med 2
k-tråde. Kar og nerve-forhold skal på skadestuen nøje undersøges og dokumenteres
da hyppigheden af neurovaskulær påvirkning ved dislocerede frakturer er høj. Ved
tegn til vaskulær påvirkning er der indikation for akut operation med omgåelse
af fasteregel. Oftest er der tale om karspasmer der retter sig efter reposition.
Er Kar og nerveforhold i orden kan indgrebet vente til dagtid den følgende dag.

Dislokation: En linie langs forsiden af humerus går normalt igennem midterste
1/3 del af capitulum humeri. Hvis hele capitulum ligger bagved denne linje skal
der reponeres og osteosynteres i GA. Hos børn under 4 år tillades lidt større
dislokation.
Udisloceret type 1:

Disloceret type 2:

Vinkelgips og k- tråde fjernes efter 3- 4 uger. Ved større børn kan k-tråde evt.
fjernes i ambulatoriet uden bedøvelse, hvis det kan aftales med forældre på
forhånd. Ellers fjernelse i anæstesi på DKC. Fysioterapi er i reglen ikke
nødvendig efterfølgende. Forældrene skal dog informeres om at der ofte går flere
måneder inden barnet opnår normal bevægelighed.
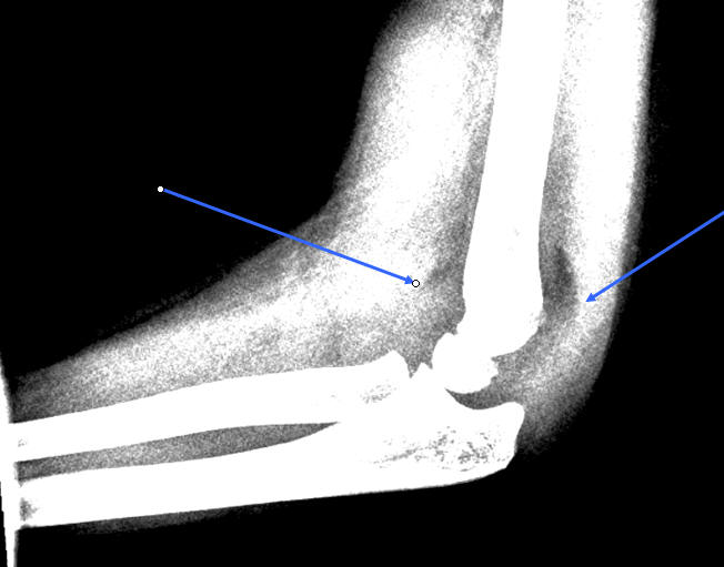
Husk at vurdere at caput radii er på plads, ved at
kontrollere at en linje gennem radius går gennem centrum af capitulum humeri:

Undersiden af ulna skal være helt lige:

Ved en bowing ulna ses ofte caput radii luksation:

Lateral condylfraktur
Disse er typisk Salter Harris type IV frakturer og derfor kan kun minimal
dislokation accepteres. Er en de få børnefrakturer hvor nonunion kan være et
problem. Kan inddeles i følgende 4 typer.
I: Udisloceret,
II: Minimalt disloceret (< 2 mm)
III: moderat disloceret (2 – 4 mm)
IV: Fuldt disloceret med rotation
Type I og II kan behandles konservativt. Pga muskel- og ligament-træk er der
tendens til sekundær dislokation. Bandagering i høj vinkelgips med underarm i
supination (for at mindske muskeltræk). Ugentlige rtg. kontroller. 5 ugers
bandageringstid efterfulgt af rtg. kontrol.
Type III og IV behandles altid operativt med (åben) reposition og fixation med
enten k-tråde eller skruer. Bandagering i høj vinkelgips med underarm i
supination. Gips og k-tråde fjernes først efter 5 uger! Der er risiko for
komplikationer i form af cubitus varus og nervus ulnaris påvirkning
Medial epicondylfraktur
Ses ofte i forbindelse med albueluxation hos børn. Epicondylfragmentet kan blive
fanget i albueleddet, hvilket udgør absolut operationsindikation. Øvrige
tilfælde kan langt hen ad vejen behandles konservativt med vinkelgips, idet selv
betydelig displacering (op til 10 mm) tolereres godt . Der vil ved større
displacering oftest ikke opnås ossøs heling, men dette har tilsyneladende ingen
funktionel betydning. Albue instabilitet og nervus ulnaris påvirkning er dog
operationsindikation.
Intercondylære frakturer og medial condylfraktur (trochleafraktur)
Meget sjældne. Udtalt tendens til dislokation pga. muskeltræk. Derfor oftest
operativ behandling med åben reposition og Skrue/k-trådsfixation. Hvis
konservativ behandling, da ugentlig rtg. kontrol. Bandagering i høj vinkelgips i
3 uger
Lateral epicondylfraktur
Sjælden. Behandles konservativt med vinkelgips i 3 uger, med mindre der tydelig
instabilitet. I sidstnævnte tilfælde operation.
Juli 2014