DISTAL RADIUS FRAKTUR - BØRN
S52.5 Fractura radii
extremitas distalis
Beskrivelse af skaden
Opstår typisk ved fald, hvor man tager fra med strakt arm.
Objektivt er der hævelse, direkte samt indirekte ømhed svarende til distale
radius og evt. fejlstilling.
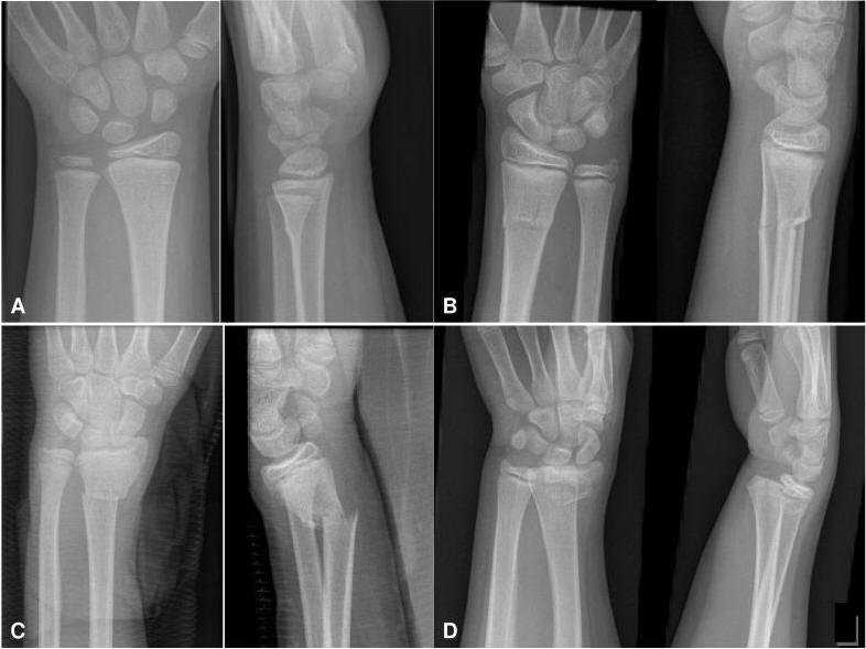
Typer

A Røntgen viser her Buckle fracture (En lille bule uden brud på corticalis)
B Greenstick fraktur med brud på corticalis på den ene side
C Komplet fraktur i distale radius.
D: Røntgen viser her epifysiolyse, her ofte Salter-Harris type II. Evt. kombineret med ulna Greenstick-fraktur/ ulnafraktur / processus styloideus ulnae fraktur.
Tilladt vinkelfejlstilling afhænger af alder og køn:

Behandling
Ad
A: Dorsal gipsskinne fra knoer til albue i 2
-3 uger.
Ad
B:
Hvis fejlstilling er mere end tilladt (se skema) Indlægges til reponering i GA,
se herunder.
Ad C:
Komplet fraktur.
Vinkelfejlstilling på op til 20-25 grader kan accepteres hos børn under 7
år, Op til 15-20 grader hos børn mellem 7-12 år og få graders fejlstilling kan
accepteres bos børn over 13 år.
Ellers reponering i universel anæstesi under indlæggelse.
Røntgenkontrol efter reponering og efter 7 dage.
Bandageringstid 4 uger.
Ad D:
Bør reponeres hurtigt i fuld anæstesi, hvis der er mere end nogle få graders
vinkelfejlstiling eller mere end nogle mm skred i epifyselinien.
Epifysiolyser heler hurtigere end frakturer. Derfor skal der foretages
røntgenkontrol efter reponering og efter 4 og 8 dage.
Er der gået mere end 5 -7
dage efter skred i epifysiolysen undlades repositionsforsøg, da man risikerer at
beskadige vækstzonen. I nogle enkelte tilfælde med svært dislocerede frakturer
kan der dog foretages åben reposition, selvom frakturen er mere end en 5 dage
gammel.
Ad C og D Hvis frakturen ikke kan reponeres til mindre end 10 % sideforskydning og mindre end 5 grader fejlstilling, skal frakturen osteosynteres med K-tråd percutant. K-tråden skal afklippes udenfor huden.
Juni 2014 JOS
Ref:
Displaced paediatric distal radius fractures—When should we
use percutaneous wires?
R.W. Jordan *, D.J. Westacott
Trauma & Orthopaedic Department, Birmingham Heartlands Hospital, United Kingdom
j.injury.2012.01.006
Risk Factors for Redisplacement of Pediatric Distal
Forearm and Distal Radius Fractures
Alexander Geoffrey McQuinn, BMBS, B.Phys and Ruurd Lukas Jaarsma, MD, PhD, FRACS
J Pediatr Orthop Volume 32, Number 7, October/November 2012
Distal Radius Fractures: What Is the Evidence?
Donald S. Bae, MD* and Andrew W. Howard, MD, MSc, FRCS(C)w
J Pediatr Orthop Volume 32, Number 2 Supplement, September 2012
Complications of Kirschner-wire Fixation in Distal Radius
Fractures
Padmanabhan Subramanian, MBBS, BSc (Hons), MRCS (Lon),* Shanjitha Kantharuban,
MBBS,w
Sophie Shilston, MBBS, MRCS,w and Oliver James Pearce, MBBS, MRCS, FRCS (Tr &
Ortho)w
Techniques in Hand & Upper Extremity Surgery Volume 16, Number 3, September 2012